
Is it the life and times of a BESPIE – or the script of the latest Mission Impossible movie?
Since joining the Bond Elite Sports Program, pole vaulter Liam Georgilopoulos has broken an Olympian’s record, achieved a personal best in New Mexico, crash-landed out of a plane and off a motorbike and somehow never missed a beat on the study front.

Georgilopoulos might be grounded by injury — for now — but his name is still soaring above the competition.
Despite missing this year’s UniSport Nationals, the record-breaking jump he nailed in 2024 remains untouched, a mark that shattered Olympic gold medallist Steve Hooker’s long-standing UniSport benchmark.
It’s just another twist in what has been a wild ride for Bachelor of Property student, whose sporting journey has been shaped by both sky-high ambition and more than his fair share of crashes back to earth.
And sometimes, quite literally.
A skydiving accident in February became the catalyst for his current setback. A sudden gust of wind forced Liam into a high-speed landing on an outstretched arm, resulting in the first of multiple shoulder dislocations.
True to form, he was back competing the following week in a qualifying meet for the World University Championships — until disaster struck again mid-jump.
“That second dislocation put an end to my season,” he said.

“It was tough to take, especially with how well I was tracking.
“But I jumped a personal best in New Mexico last year, eight weeks post-surgery, so I definitely know the process of injury recovery and will apply it to this situation.”
That’s no exaggeration.
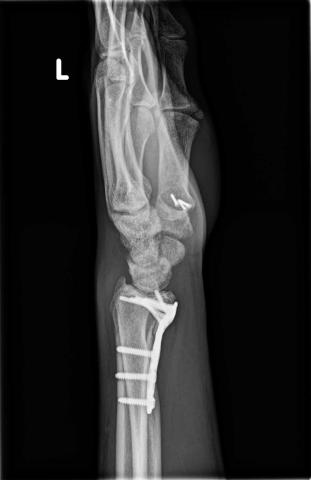
In just the past two years, Georgilopoulos has survived three broken wrists, a torn hamstring, tendonitis in both knees, and a motorcycle accident that left him with 14 screws and a plate in his wrist
His most recent operation — an arthroscopic shoulder stabilisation performed by Dr Andrew McBride, a Bond University Honorary Adjunct Assistant Professor — has left him upbeat about another comeback. He’s now in the thick of rehab with the Bond Physio team and is forecast to return to vaulting in August.
“Dr McBride and the Bond Physio team have been amazing,” he said.
“I’ve done the recovery thing plenty of times now. I know how to push through, and I know how to come back stronger.”

While sidelined, Liam has added a new layer to his training — sprint work under the guidance of Olympic heptathlon champion Glynis Nunn, a move aimed at sharpening his speed for a potential Commonwealth Games tilt in 2026.
“The Commonwealth Games are definitely in my sights,” he said.
“I’m working with Glynnis to build that explosive speed I’ll need to get to the next level.”
And when he's not defying gravity on the track, Liam keeps chasing the sky — literally. He's racked up over 150 skydives, often jumping with fellow Bond students Maverick Robbins and Mackenzie Davis at Byron Bay.
For now, the vaulting poles are in storage and the parachute is folded — but don’t expect Liam to stay grounded for long.